被一颗巨大的胸腔肿瘤折磨七年、辗转求医的李女士(化名),近日终于在西安交通大学第一附属医院陆港院区重获新生。胸外科团队历经6个多小时的精细手术,成功为她切除了直径约18厘米的肿瘤。目前患者恢复良好,已顺利出院。
辗转求医屡受挫,巨大肿瘤成“大患”
60岁的李女士七年前开始出现胸闷、气短,曾在当地医院接受诊治,但症状未能缓解。近半年来,她呼吸困难加重,夜间无法平卧,日常活动严重受限,需持续吸氧维持。
检查发现,其左侧胸腔内长有巨大肿物。由于肿瘤体积大、位置深、手术风险高,李女士辗转多家医院均被以“手术难度极大、易发生大出血”而婉拒,这让李女士一度陷入绝望。
迎难而上,团队制定周密手术方案
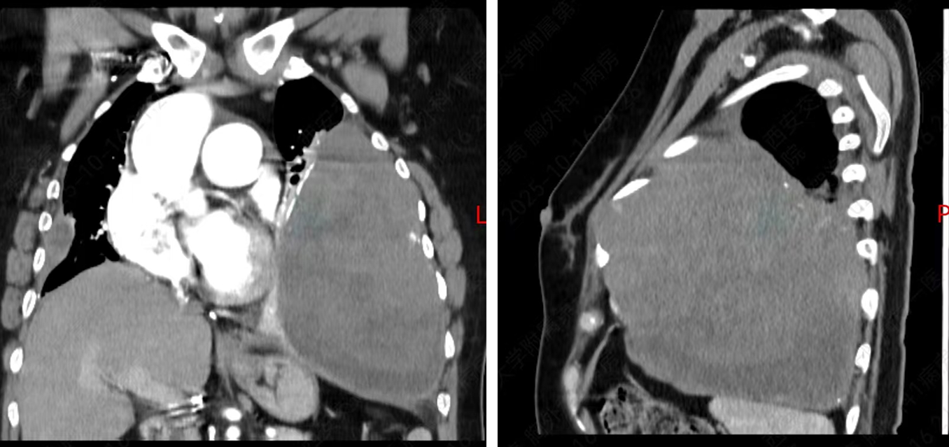
抱着一线希望,李女士来到西安交大一附院陆港院区胸外科。科室迅速组织全面评估,CT显示肿物已达18cm×15cm,占据左侧胸腔大部分空间,压迫心脏移位,使其向右侧偏移。
主治医师贺海奇介绍:“肿瘤虽考虑为良性或低度恶性,但体积巨大,术中出血风险非常高,对团队是极大考验。”面对挑战,胸外科张广健主任带领团队反复研究影像资料,模拟手术路径,制定周密手术方案及应急预案,全力为患者争取生机。

图1 术前CT检查显示肿瘤最大径超过18cm
六小时精细手术,完整切除肿瘤
在麻醉手术部等团队密切配合下,张广健主任医师、王哲副主任医师、贺海奇主治医师共同主刀,为患者实施手术。术中发现肿瘤与周围组织广泛粘连,团队在保护心脏、大血管及重要神经的前提下,细致分离,历时6小时,最终将肿瘤完整切除。

术后恢复良好,患者重获顺畅呼吸
术后第一天,李女士即表示胸口压迫感消失,呼吸明显顺畅。在胸外科团队精心护理与加速康复理念指导下,她术后第二天即可下床活动,身体日渐好转,术后第八天康复出院。

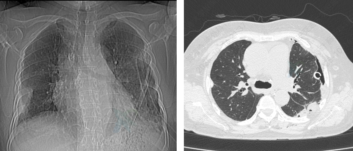
图3 术后CT检查显示左肺已完全复张
出院时,李女士与家人特地送来锦旗表达感谢。她的女儿动情地说:“是你们给了我妈妈第二次生命,感谢你们没有放弃!”
此次高难度手术的成功,充分展现了西安交大一附院陆港院区胸外科处理复杂危重病例的综合实力与担当精神。科室将继续秉持以患者为中心的理念,以仁心仁术与精湛技术攻克疑难病症,为更多身处困境的患者点亮生命之光。
